CP Hip Surveillance

The Child Health BC Hip Surveillance Program

for Children with Cerebral Palsy

is the first province- or state-wide hip surveillance program

of its kind in North America.

The program launched in 2016,

and celebrated its 5-year anniversary in 2021.

HIP DISPLACEMENT IN

CEREBRAL PALSY

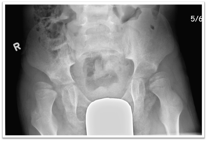
Hip displacement is common in children with cerebral palsy (CP) and CP can result in pain and difficulties with positioning, sitting, standing, and walking.

35% of children with CP are affected by hip displacement.

Hip surveillance programs have been established in many countries in order to identify and monitor children at risk for hip displacement.

What is Hip Surveillance?

Hip surveillance is the process of monitoring and identifying the critical early indicators of hip displacement.

If hip displacement is not identified and acted upon early, complex and significant surgery can be required.

1. Ensure that children at risk for hip displacement receive appropriate screening to allow for early and appropriate management.

2. Facilitate the implementation of the recommended standard of care for hip surveillance into practice across the province.

Objectives

Pediatric population (age ≤19 years)

Children diagnosed with cerebral palsy

Children not yet diagnosed with CP but for whom there is a clinical suspicion of having CP

Population

If caught early, there are interventions available, such as soft tissue and reconstructive hip surgeries, to prevent progressive displacement.

However, when hip displacement is identified at its late stages, the head of the femur may have already changed shape and lost cartilage.  When this happens, reconstructive surgery may no longer be possible and salvage surgery may be the only option. 

With salvage surgery, the top of the leg bone is removed with the goals to decrease pain and improve comfort.  Salvage surgery has more complications and less favourable outcomes than reconstructive surgery. 

Salvage Surgeries

Change in Surgical Practice

During an 18-month period in 2008 and 2009, 35% of hip surgeries were salvage procedures.

In 2014, 15% of hip surgeries performed were salvage procedure.

By 2021, less than 5% of procedures were salvage; all of these were for existing patients or refugees and immigrants new to BC.

Previous
Previous

POCUS Clinic